NI MASKE NAM NE MOGU POMOĆI Čestice iz vazduha ubiju oko 6.000 građana godišnje, a ovo su mesta gde ih ima NAJVIŠE (MAPA)

NI MASKE NAM NE MOGU POMOĆI Čestice iz vazduha ubiju oko 6.000 građana godišnje, a ovo su mesta gde ih ima NAJVIŠE (MAPA)

0
zagađenje kolaž1
Foto: AP, EPA / RAS Srbija
zagađenje kolaž1

Zagađen vazduh, osim što guši ljude, može da izazove bolesti i na kraju i ubije. U novembru, najzagađeniji gradovi u Srbiji bili su Valjevo i Kosjerić, dok su prošle godine građani Užica, Kraljeva, Kragujevca, Pančeva, Beograda, Subotice i Niša veći deo godine "disali na škrge".

Da je vrag odneo šalu, govore objavljeni podaci Svetske zdravstvene organizacije (SZO) da u Srbiji od posledica zagađenja vazduha umre oko 6.000 ljudi.

Gradovi u kojima je zagađenje vazduha najveće
Foto: RAS Srbija
Gradovi u kojima je zagađenje vazduha najveće

"Zagađenje vazduha izaziva rak i može da ubije"

Istovremeno, pulmolozi kažu da čestice zagađenja koje dospevaju u naše disajne organe mogu da izazovu čak i rak, a "obične" maske koje bi neko i nosio na ulici nemaju nikakvu zaštitu, kada su u pitanju takozvane suspendovane čestice PM-10, a koje potiču od dima, čađi, prašine, soli, kiselina, metala i drugih zagađivača vazduha.

Dim može da ubije
Foto: privatna arhiva / Privatna arhiva
Dim može da ubije

Merenje njihove koncentracije u vazduhu parametar je njegovog zagađenja, a dozvoljene koncentracije su 50 mikrograma po metru kubnom.

Pulmolozi još apostrofiraju da bi jedina, i to delimična, zaštita od njih bile takozvane nano - maske koje ne bi dopustile da mikronske čestice PM - 10 prodiru duboko u pluća i izazovu bolesti.

Ni čisti dimnjaci ne pomažu
Foto: Arhiva
Ni čisti dimnjaci ne pomažu

"Rizik od astme, bronhitisa, raka i smrti"

Da je veliki rizik po zdravlje od aerozagađenja, posebno kada su u pitanju disajni organi u koje ulaze direktno sopevaju čestice PM - 10, potvrđuje za "Blic" prim. dr Tatjana Radosavljević, pulmolog.

- PM -10 su čestice koje najdirektnije mogu da dovedu do razvoja opstruktivne bolesti pluća, ali i do akutnih pogoršanja. Ista situacija je u vezi sa astmom, pogotovu ako je vlažno vreme i ima magle. Primera radi, u Londonu je 1959. godine, tokom takvih magli i prisutnog smoga u vazduhu, za dve nedelje umrlo preko 1.000 ljudi. Sa druge strane, dugotrajna izloženost aerozagađenju može da dovede do karcinoma bronha. Najgore je što obične maske koje bismo mogli da nosimo ne mogu da zaustave da nam čestice PM - 10 dospeju u pluća. Trebalo bi u te svrhe da na usta i nos satvimo nano - maske, ali i one su delimična zaštita - navodi prim. dr Radosavljević.

Obične maske ne pomažu
Foto: youtube
Obične maske ne pomažu

"Starija populacija ugroženija"

Prema njenim rečima, kod starijih ljudi koji već imaju opstruktivnu bolest pluća i još neke druge hronične bolesti, aerozagađenje može da bude uzrok pogoršanja njihovog stanja i dovede do smrti.

- Rešenje bi bilo da se preduzme nešto da se poboljša kvalitet vazduha - završila je ona.

"Radimo na tome da se problem reši"

Filip Radović, direktor Agencije za zaštitu životne sredine, potvrđujući za "Blic" podatke o zagađenju vazduha u Srbiji, kaže da njih daje upravo Agencija u realnom vremenu.

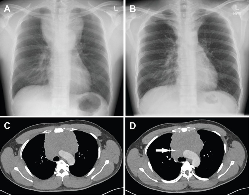
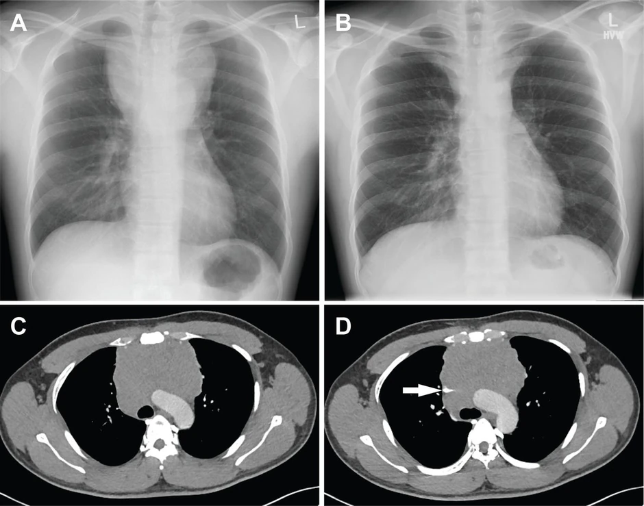
Prva stradaju pluća
Foto: BMJ Case Reports / Promo
Prva stradaju pluća

- Građani u svakom trenutku na našem sajtu mogu da vide stanje vazduha. U Ministarstvo za zaštitu životne sredine formiralo je Radnu grupu za smanjenje aerozagađenja. Njeni članovi upravo obrađuju podatke iz svih loklanih samouprava i vrlo brzo će predložiti mere i preporuke za samnjenje aerozagađenja. Stvar je jako kompleksna jer će biti neophodni radiklani rezovi, ali velika ulaganja. Ono što je dobro jeste da je vazduh u nekim gradovima, kao što je to, na primer, Bor, ove godine bio bolji nego prošle godine - objašnjava Radović.

Prema njegovim rečima, počelo je da se ulaže u modernizaciju infrastrukture u Srbiji, što trenutno čini i "Elektroprivreda Srbije", jedan od najvećih emitera zagađivača.

- U Srbiji su jedan od najvećih problema i individualna ložišta. Što se toga tiče povećaćemo koeficijent energetske efikasnosti što će doprineti smanjenju sagorevanje fosilinih goriva, što porazumeva prelazak na grejanje na biomasu. Samo tako ćemo moći da sačuvamo zdravlje naših građana - kaže on.

I ugalj je problem
Foto: N1 / youtube
I ugalj je problem

Dragan Jeremić, koordinator Radne grupe za smanjenje aerozagađenja, kaže za "Blic" da je cilj identifikacija zagađenih sredina i utvrde uzroci aerozagađenje kako bi mogle da se predlože mere da se stanje popravi.

- Štetni efekti aerozagađenja na stanovništvo su nesporni, uvek se treba prisetiti reči pukovnika profesora dr Ranka Raičevića, predsednika Društva neurologa Srbije, koji objašnjava da aerozagađenje, sa padom koncentracije kiseonika kao najvažnijom posledicom, predstavlja novi nezavisni faktor rizika za povećani rizik oboljevanja od cerebrovaskularnih i neurodegenerativnih bolesti – kaže za "Blic" on.

"Alarmantno tokom grejne sezone"

Jeremić potvrđuje da je visoka stopa aerozagađenja posebno alarmantna tokom grejne sezone, kada su dnevne koncentracije PM - 10 čestica i po nekoliko puta veće od graničnih vrednosti, naročito u gradovima u kojima većina domaćinstava nema centralno grejanje, već se građani individualno greju, najviše na ugalj.

Valjevo i Kosjerić imaju najzagađeniji vazduh
Foto: Predrag Vujanac / RAS Srbija
Valjevo i Kosjerić imaju najzagađeniji vazduh

"Valjevo i Kosjerić najzagađeniji u novembru"

Kako je "Blic" već pisao, a podacima Agencije za zaštitu životne sredine, tokom prethodnog meseca u Valjevu su dnevne količine čestica PM - 10 čak 26 dana bile iznad dozvoljenih vrednosti, a u Kosjeriću 22 dana.

U Valjevu je njihova koncentracija bila 146 mikrograma po metru kubnom, dok je u Kosjeriću ona bila malo veća - 149 mikrograma.

Ministarstvo za zaštitu životne sredine definisalo je da su najveći izvori zagađenja vazduha u Srbiji saobraćaj, kao mobilni izvor zagađenja, stara vozila na dizel-gorivo, uglavnom zabranjena u zemljama odakle dolaze, loš saobraćajni protok u urbanim celinama, kućna ložišta, termoenergetski sektor i industrija.

"Pančevo, Beograd, Užice, Valjevo, Kraljevo, Kragujevac, Subotica, Niš..."

Kada je u pitanju prošla godina, a prema podacima resornog Ministarstva, čak u pet srpskih gradova njihovi žitelji skoro trećinu godine proveli su udišući vazduh prekomerno zagađen dimom, čađi, prašinom, solju, kiselinama i metalima...

Kako je u tom Ministarstvu rečeno za "Blic", u Pančevu je čak 157 dana bila prekoračena dozvoljena vrednost PM-10 čestica u vazduhu, u Užicu 122, Valjevu 114 dana, Kraljevu 106, Kragujevcu 101. Potom slede gradovi "ispod 100" - Beograd 98, Subotica 90 i Niš 74.

zagađenje kolaž1
zagađenje kolaž1 (Foto: AP, EPA / RAS Srbija)
Gradovi u kojima je zagađenje vazduha najveće
Gradovi u kojima je zagađenje vazduha najveće (Foto: RAS Srbija)
Dim može da ubije
Dim može da ubije (Foto: privatna arhiva / Privatna arhiva)
Ni čisti dimnjaci ne pomažu
Ni čisti dimnjaci ne pomažu (Foto: Arhiva)
Obične maske ne pomažu
Obične maske ne pomažu (Foto: youtube)
Prva stradaju pluća
Prva stradaju pluća (Foto: BMJ Case Reports / Promo)
I ugalj je problem
I ugalj je problem (Foto: N1 / youtube)
Valjevo i Kosjerić imaju najzagađeniji vazduh
Valjevo i Kosjerić imaju najzagađeniji vazduh (Foto: Predrag Vujanac / RAS Srbija)
Izdvajamo za vas
Više sa weba